セラミック治療
- 光明池の歯医者「のはら歯科クリニック」TOP
- セラミック治療
こんなお悩みは
ありませんか?

- 銀歯が気になる
- 笑ったときに歯の色が目立つ
- 金属アレルギーが心配
- 自然な歯に見える詰め物・
被せ物にしたい - 被せ物した歯の色が、他の天然歯と色が違う
- 歯と歯茎の間が黒ずんでいる
このようなお悩みがある方は、光明池の歯医者、のはら歯科クリニックへご相談ください。
白く美しいセラミック治療で口元を健康に

セラミック治療は、天然歯に近い白さと透明感を持ち、周囲の歯とも調和する美しい仕上がりが特長です。
光明池の歯医者、のはら歯科クリニックでは、見た目を良くするだけでなく、噛む機能やお口全体の健康を考えたセラミック治療をご提案しています。金属を使用しないため金属アレルギーの心配もなく、経年的な歯ぐきの変色リスクも少ないのがメリットです。審美性と機能性を両立させたい方におすすめの治療法です。
セラミックの特徴

セラミックは、天然歯に近い透明感のある白さを持ち、周囲の歯と調和する素材です。強度にも優れており、日常の噛む力にも十分耐えられるため、安心して長く使用できます。
また、コーヒーや紅茶などによる着色や変色が起こりにくく、美しさを長期間維持できる点も大きな特長です。
保険の銀歯やプラスチック素材との違いとは

銀歯は保険適用で安価に治療できますが、金属色が目立ち、経年で歯ぐきが黒ずんだり金属アレルギーを起こしたりすることがあります。プラスチック(レジン)は初期費用は抑えられますが、摩耗や変色が早く、長期間の使用には不向きです。
これに対しセラミックは、白さを長期間維持でき、見た目、強度ともに優れています。ただし自費診療となるため、費用は保険治療に比べて比較的高額になります。
ご希望に合わせた
セラミック治療を
提供します

当院では、患者さま一人ひとりの歯の状態やご希望に合わせ、適切なセラミック治療をご提案しています。色や形などのご希望を伺い、患者さまとイメージをすり合わせながら進めていきます。
また、見た目だけでなく、噛む機能や耐久性にも配慮し、納得いただける治療計画のもと、安心して治療を受けていただけるよう努めています。光明池で審美性と機能性を両立した治療をご希望の方は、ぜひご相談ください。
セラミック治療の
メリット・デメリット
メリット
- 天然歯に近い自然な見た目
- 変色しにくく長く美しさを保てる
- 金属を使わないため金属アレルギーの心配がない
- 強度があり、日常的な咬合力に十分対応できる
- 歯ぐきとの親和性が高く、口腔内を健康に保ちやすい
デメリット
- 保険適用外のため費用が高い
- 型採りや調整などで複数回の通院が必要
- 強い衝撃でまれに破損するリスクがある
- 医院によって料金や素材の種類が異なるため、事前確認が必要
当院で対応可能
セラミック
セラミックインレー

虫歯治療で削った部分に入れる詰め物です。金属のインレーに比べて白く自然に仕上がり、口を開けても目立ちません。強度があり、噛み合わせにもしっかり対応できます。
セラミッククラウン

歯全体を覆う被せ物です。銀歯に比べて見た目が良く、周囲の歯の色とも調和します。強度と耐久性があり、奥歯の治療にも適しています。
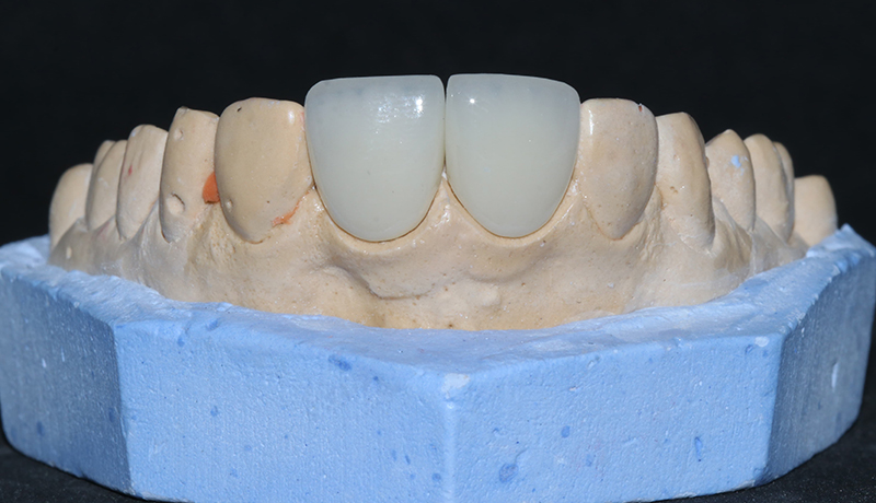
オールセラミッククラウン

すべてセラミック素材で作られたクラウンで、特に前歯の審美回復に適しています。透明感があり、天然歯とほとんど見分けがつかない仕上がりが可能です。
ラミネートベニア

前歯の表面を薄く削り、セラミックの板を貼り付ける方法です。歯の色を白くするだけでなく、すきっ歯や歯の形も同時に整えられるのが特長です。














